Hàn trám răng là dịch vụ nha khoa tương đối phổ biến và được nhiều người biết tới. Tuy nhiên như thế nào là quy trình hàn trám răng thẩm m...
Ảnh hưởng khi răng mọc lệch
Răng mọc lệch là một tình trạng răng miệng mô tả sự biến đổi trong cách sắp xếp vị trí của răng, xảy ra khi các răng trong miệng mọc không ...
Niềng răng mắc cài kim loại là gì?
Niềng răng bằng mắc cài kim loại là một trong những phương pháp chỉnh nha truyền thống, sử dụng mắc cài làm bằng hợp kim cao cấp, an toàn, ...
Vì sao vỏ cam làm trắng răng
Có rất nhiều phương pháp giúp đánh bay hàm răng ố vàng bằng những nguyên liệu có sẵn trong tự nhiên vừa dễ tìm lại hiệu quả. Làm trắng răng...
Có cách làm trắng răng sứ nào hay không?
Răng sứ bị xỉn màu khiến bạn mất tự tin khi giao tiếp, bạn tìm kiếm cách làm trắng răng hiệu quả. Tuy nhiên, với răng thật khi bị vàng ố th...
Biểu hiện của răng lệch lạc
Cho mình hỏi răng mọc lệch vào trong nên niềng răng hay bọc sứ là tốt nhất? Và niềng răng có làm răng yếu đi không ? Mong nha khoa tư vấn ...
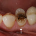
Biểu hiện khi răng sâu độ 3
Sâu răng là một loại bệnh lý rất quen thuộc mà bất kỳ ai trong chúng ta đều có thể sẽ gặp phải mà không hề có sự phân biệt giới tính hay tu...
Hàn trám răng là gì
Bạn mất tự tin khi nở nụ cười vì những chiếc răng sâu, vì những lỗ mòn rộng trên răng hay đơn giản chỉ vì màu răng không được trắng tự nhiê...
Niềng răng móm bao lâu để đạt được kết quả tốt nhất?
Sau khi niềng răng móm, bạn không chỉ có gương mặt ưa nhìn hơn mà sức khỏe răng miệng cũng được cải thiện. Vậy niềng răng có nguy hiểm khô...
Niềng răng đau như thế nào?
Răng của em mọc không đều, hơi lệch lạc trông rất xấu. Năm nay em 20 tuổi, muốn niềng lại nhưng không biết quá trình niềng 2 răng cửa giá ...
Loại bỏ mảng bám chân răng tại nha khoa
Loại bỏ mảng bám chân răng tại nhà có hiệu quả không? niềng răng bằng nhựa là gì? Trên thực tế, các phương pháp chữa trị tại nhà không b...
Sâu răng ăn vào tủy là như thế nào? Mức độ nguy hiểm
Sâu răng ăn vào tủy là mức độ răng sâu nguy hiểm, khiến người bệnh chịu nhiều khổ sở. Vì tủy răng là bộ phận quan trọng, nếu bị viêm nhiễm...
Hướng dẫn chữa sâu răng bằng tỏi
Bạn đã từng nghe nói về mẹo chữa đau răng bằng tỏi chưa? bọc răng sứ có đau không ? Ngậm tỏi chữa đau răng là một mẹo nhỏ có thể nhiều ngườ...
Niềng răng khểnh như thế nào tại nha khoa
Quy trình niềng răng khểnh hay còn gọi là quá trình niềng răng khấp khểnh diễn ra như thế nào? Răng khểnh thường được xem là nét duyên mà k...
Răng Hô Là Gì?
Thời gian niềng răng hô là một trong những vấn đề mà không ít người đắn đo khi quyết định điều trị. Vậy chính xác, niềng răng bao lâu thì ...














